www.arhittex.ru - Сайт женские истории
Недавно опубликованное:
1. Максим Матвеев: Играть любовь с женой гораздо проще (19.1.2019)
2. 8 факторов, которые приведут вас к инфаркту (17.1.2019)
3. Рецепты хрустящей картошки в духовке, секреты (15.1.2019)
4. 12 средств с экстрактом розы (13.1.2019)
5. От чего зависит красота волос (11.1.2019)
6. Как сделать компост (9.1.2019)
7. Такие уютные тапочки (7.1.2019)
8. Максим Фадеев рассказал про здоровье Наргиз (5.1.2019)
9. Признаки, симптомы климакса уженщин (3.1.2019)
10. 9 предметов для маленьких квартир (1.1.2019)

> Перейти на ГЛАВНУЮ

Лечение лишая у детей в домашних условиях

Опубликовано: 29.11.2015

Лечение лишая у детей в домашних условиях

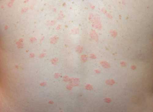
Если ничего не предпринимать, то первоначальные очаги сливаются, заболевание прогрессирует.

Возбудитель лишая быстро распространяется в роговом слое кожи и волосах. Дети болеют намного чаще взрослых, их иммунитет менее сильный, организм больше подвержен всем видам инфекции. Распознать стригущий лишай можно по кольцевидным пятнам на коже. По краю идет валик из более крупных чешуек.

Возбудитель лишая быстро распространяется в роговом слое кожи и волосах

На коже головы появляются очаги облысения, имеющие округлую форму.

На коже головы появляются очаги облысения, имеющие округлую форму

От поврежденных волос остаются только пеньки или черные точки. Как распознать симптомы грибкового заболевания при стригущем лишае у ребенка. Следует ежедневно обрабатывать пятна настойкой йода. Лишай у грудничка можно в течение дня протирать антисептическим и противомикробным раствором.

Вечером нанести на пораженную кожу мазь с противогрибковым компонентом. Самые доступные по цене лекарственные средства для наружного применения содержат медицинскую серу, березовый деготь, салициловую кислоту.

Названия мазей. Сернодегтярная, Серносалициловая. Разрешается применять эти средства для лечения детей старше лет. Чем лечить стригущий лишай препараты из аптеки на основе противогрибковых компонентов. Микосептин цинковая соль ундициле новой кислоты. Низорал с кетоконазолом крем и шампунь. Микозон ативное вещество миконазол. Лишай у подростка иногда лечат мазью Ям. Это сильнодействующий ветеринарный препарат, уничтожающий кожных паразитов. Содержит фенольные соединения, ихтиол, деготь, скипидар, оксид цинка, другие основные и вспомогательные ингредиенты. Пятна лишая на коже нужно обрабатывать антисептическими и заживляющими средствами, например, мазью. Солкосерил, кремом.

Антигистаминные таблетки или капли помогают уменьшить зуд, дискомфорт. Изнутри оказывают положительное влияние на процессы в кожном покрове витамины. Дают ребенку поли витаминные комплексы с микроэлементами, рекомендованные дерматологом или педиатром. Многие противо грибковые лекарственные препараты нельзя использовать для лечения детей, которым меньше лет. Возрастные ограничения и лет встречаются в инструкциях к медикаментам с сильнодействующими антимикотическими веществами. Там же приводится внушительный список побочных эффектов. Поэтому не удивляет тот факт, что родители стремятся применять для лечения детей от до лет натуральные вещества. Лечение лишая у детей народными средствами. Использовать для компрессов и примочек настойку, приготовленную из свежевыжатого сока чистотела и водки, взятых в равных пропорциях. Смочить ватный диск настойкой прополиса, закрепить на пораженном участке бинтом или лейкопластырем. Наносить самодельные мази с серой и дегтем. Делать примочки с яблочным уксусом. Необходимо обеззараживать и смягчать кожу ребенка, пораженную лишаем. Для этих целей используются облепиховое и шиповниковое масла, настойка календулы. Эфирное масло чайного дерева можно добавлять в шампунь и детский крем. Фитоэссенция содержит ингредиентов с расшифрованным составом. Согласно данным исследований, масло чайного дерева помогает излечить воспаление кожи и дерматоми козы. Применение средства основано на его антисептических, бактерицидных, фунгицидных и акарицидных свойствах. Наиболее вероятные причины сыпи у ребенка на теле. Оба вещества обладают резким неприятным запахом, раздражающим слизистую носа и глаз. Самодельные мази с этими компонентами нужно применять для лечения детей с большой осторожностью, наносить вечером под повязку. Лечение небольших пятен лишая занимает около двух недель. Хорошо подходят для профилактики рецидивов серное и дегтярное мыло.

Оставить комментарий:

 

Для того чтобы оставлять комментарии, необходимо Зарегистрироваться

2016 (c). связь с нами